•  f 

KhoaHoc.tv: Khoa học - Công nghệ - Tri Thức - Khám phá

  • Trang chủ
  • Công nghệ
  • Khám phá khoa học
  • Thế giới động vật
  • Khoa học vũ trụ
  • 1001 bí ẩn
  • Y học - Sức khỏe
  • Chân dung hacker mắc bệnh tự kỷ nguy hiểm nhất thế giới

    Chân dung hacker mắc bệnh tự kỷ nguy hiểm nhất thế giới

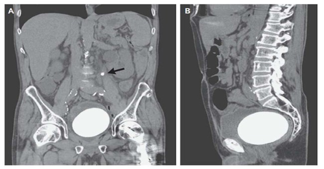
  • Đau bụng, người đàn ông nhập viện chụp X-quang và thu được một kết quả đáng sợ

    Đau bụng, người đàn ông nhập viện chụp X-quang và thu được một kết quả đáng sợ

  • Những khoảnh khắc lịch sử trong sứ mệnh của tàu Cassini

    Những khoảnh khắc lịch sử trong sứ mệnh của tàu Cassini

  • Phi hành gia Trung Quốc làm gì trong 90 ngày trên vũ trụ?

    Phi hành gia Trung Quốc làm gì trong 90 ngày trên vũ trụ?
    Các phi hành gia hoàn thành hai chuyến đi bộ không gian, thực hiện nhiều thí nghiệm và rèn luyện thân thể thường xuyên trong ba tháng.
  • Tê giác chết đuối trong lần đầu 'hẹn hò'

    Tê giác chết đuối trong lần đầu 'hẹn hò'
    Cuộc gặp mặt đầu tiên với tê giác đực mới chuyển tới vườn thú trở thành thảm họa khi tê giác cái rơi xuống hồ nước trong lúc chạy trốn và chết đuối.
  • Những bộ khung máy mang lại siêu sức mạnh cho con người

    Những bộ khung máy mang lại siêu sức mạnh cho con người
    Với bộ khung máy, người dùng có thể dễ dàng nâng vật nặng, chạy khỏe hơn và giảm mệt mỏi khi hoạt động.
  • Bọc màng nhôm cứu cây lớn nhất thế giới khỏi 'giặc lửa'

    Bọc màng nhôm cứu cây lớn nhất thế giới khỏi 'giặc lửa'
    Lính cứu hỏa California sử dụng màng nhôm bọc kín quanh gốc cây cự sam General Sherman, cây lớn nhất thế giới theo thể tích, để ngăn tác động từ đám cháy rừng.
  • Video: Xem thiện xạ Iraq soi gương bắn trúng mục tiêu sau lưng

    Video: Xem thiện xạ Iraq soi gương bắn trúng mục tiêu sau lưng
    Nổi tiếng khắp Iraq với tài sử dụng súng “cực đỉnh”, anh Fadel Abu Duha chỉ cần quan sát qua gương là có thể bắn trúng nhiều mục tiêu ở phía sau lưng.
  • Bằng thân pháp cực kỳ linh hoạt, sóc nhỏ biến màn đi săn của rắn hổ mang thành một "trò lố"

    Bằng thân pháp cực kỳ linh hoạt, sóc nhỏ biến màn đi săn của rắn hổ mang thành một "trò lố"
    Tình mẫu tử là tình cảm thiêng liêng mà người mẹ dành cho con trong suốt cuộc đời, nhất là trong trường hợp sinh tử, bản năng người mẹ sẽ trỗi dậy, bất chấp mọi thứ để bảo vệ con của mình.
  • Kỳ quái với dáng vẻ "ngoài hành tinh" của loài côn trùng ăn lá

    Kỳ quái với dáng vẻ "ngoài hành tinh" của loài côn trùng ăn lá
    Trái với dáng vẻ đầy nguy hiểm của nó, châu chấu Brazil cũng chỉ là một loài côn trùng nhỏ hoàn toàn bình thường.
  • Đang dắt chó đi dạo, cặp vợ chồng vô tình nhặt được kho báu "khủng", trị giá hơn 200 tỷ VND

    Đang dắt chó đi dạo, cặp vợ chồng vô tình nhặt được kho báu "khủng", trị giá hơn 200 tỷ VND
    Kho báu mà đôi vợ chồng tìm thấy được định giá lên tới hơn 10 triệu USD (hơn 200 tỷ VND).
  • Trong tương lai, con người đều có thể trở thành những "cyborg" hay không?

    Trong tương lai, con người đều có thể trở thành những "cyborg" hay không?
    Nhờ sự tiến bộ không ngừng của người máy, chúng ta đã có thể sử dụng máy móc để thay thế các chi bị đứt lìa và các cơ quan nội tạng bị hỏng.
  • Loài hoa hiếm nhất thế giới, chỉ xuất hiện ở đúng 2 địa điểm

    Loài hoa hiếm nhất thế giới, chỉ xuất hiện ở đúng 2 địa điểm
    Middlemist's Red (hay Spring Rose) chính là loài hoa hiếm nhất thế giới bởi nó chỉ xuất hiện ở 2 địa điểm: Một là nhà kính ở Anh và hai là khu vườn thuộc New Zealand.
  • Đến nay, mực khổng lồ vẫn còn nhiều bí ẩn

    Đến nay, mực khổng lồ vẫn còn nhiều bí ẩn
    Thực tế mực khổng lồ có thể không tấn công tàu thuyền nhưng chúng vẫn là kẻ săn mồi đáng sợ dưới đại dương.
  • Ngăn chặn "súp độc" gây ra cuộc đại tuyệt chủng như 252 triệu năm trước

    Ngăn chặn "súp độc" gây ra cuộc đại tuyệt chủng như 252 triệu năm trước
    Sự kiện tuyệt chủng hàng loạt vào cuối kỷ Permi khoảng 252 triệu năm trước có thể lặp lại do súp độc nhưng con người hiện đại đủ sức ngăn cản nó.
  • Phát hiện chim cánh cụt khổng lồ cổ đại cao bằng con người

    Phát hiện chim cánh cụt khổng lồ cổ đại cao bằng con người
    Một loài chim cánh cụt với kích thước lớn được xác định từ xương hóa thạch tìm thấy ở cảng Kawhia trên Đảo Bắc của New Zealand.
  • Phát hiện "chìa khóa" ở bản nhạc của Mozart giúp xoa dịu người bệnh động kinh

    Phát hiện "chìa khóa" ở bản nhạc của Mozart giúp xoa dịu người bệnh động kinh
    Bản Sonata cho 2 đàn Piano cung Rê trưởng K.448 của thiên tài âm nhạc Mozart có thể xoa dịu tình trạng động kinh của não bộ.
  • Cá heo muốn kết bạn với người bị tàu đâm chết

    Cá heo muốn kết bạn với người bị tàu đâm chết
    Quá gần gũi với con người và tàu thuyền có thể đã khiến cá heo Nick mất cảnh giác tự nhiên và gặp nạn.
  • Các phi hành gia Trung Quốc trở về Trái đất an toàn

    Các phi hành gia Trung Quốc trở về Trái đất an toàn
    Ngày 17/9, các phi hành gia Trung Quốc đã trở về Trái Đất an toàn sau 3 tháng sống và làm việc trên quỹ đạo.
  • Bị chế giễu, Võ Tắc Thiên khiến tất cả những người phản đối phải im miệng chỉ bằng duy nhất một chữ

    Bị chế giễu, Võ Tắc Thiên khiến tất cả những người phản đối phải im miệng chỉ bằng duy nhất một chữ
    Để có thể trở thành nữ hoàng đế duy nhất trong lịch sử phong kiến Trung Quốc, Võ Tắc Thiên chắc chắn đã trải qua nhiều chuyện không dễ dàng.
  • Video: Sư tử độc ác tàn sát bầy đà điểu con

    Video: Sư tử độc ác tàn sát bầy đà điểu con
    Những con sư tử đã khiến rất nhiều người xem phải “lạnh người” trước sự tàn khốc của thiên nhiên hoang dã bằng màn tàn sát bầy đà điểu con cực kỳ dã man.
  • Nhà tiên phong về máy tính cầm tay qua đời

    Nhà tiên phong về máy tính cầm tay qua đời
    Sau hơn một thập kỷ chống chọi với bệnh ung thư, nhà phát minh nổi tiếng Clive Sinclair đã chút hơi thở cuối cùng vào hôm 16/9 ở tuổi 81.
  • Công nghệ màn bong bóng giúp ngăn bão lớn

    Công nghệ màn bong bóng giúp ngăn bão lớn
    Công ty OceanTherm đang xem xét dùng công nghệ màn bong bóng để giảm nhiệt độ mặt nước, cắt đứt nguồn cung cấp năng lượng cho bão mạnh dần.
  • Quay lại
  • Xem thêm

Gợi ý cho bạn

  • Ngắm bắn bằng một mắt hay hai mắt hiệu quả hơn?

  • Bí ẩn cách người xưa treo quan tài trên vách đá: Các chuyên gia treo giải 1,3 tỷ, cụ nông dân đã giải được câu đố!

  • Phát hiện thiên hà lớn tuổi nhất vũ trụ

  • Thú quý hiếm được giải cứu ở Việt Nam

  • Tác hại của cá rô phi bạn phải biết càng sớm càng tốt

  • Tại sao ông già Noel lại mặc quần áo màu đỏ?

  • Linh chi thái tuế là gì?

  • Top 7 bộ giáp nổi tiếng có niên đại hàng thế kỷ

  • Những bệnh nguy hiểm do ăn phải đậu phụ có thạch cao

  • Cậu học sinh nhặt được chiếc lá, chuyên gia khảo cổ tuyên bố “đây là bảo vật vô giá”

  • Michael Faraday - Sự bình thường vĩ đại

  • Top 7 hiện tượng tự nhiên kỳ thú hiếm gặp nhất thế giới, cả đời chỉ ước được chiêm ngưỡng một lần

Xem thêm

Tiêu điểm

  • Tác hại của cá rô phi bạn phải biết càng sớm càng tốt

    Tác hại của cá rô phi bạn phải biết càng sớm càng tốt

  • Phân biệt ngày 24 và ngày 25 trong lễ Giáng sinh

    Phân biệt ngày 24 và ngày 25 trong lễ Giáng sinh

  • Trận chiến giữa người ngoài hành tinh và con người năm 1978: Sự thật hay chỉ là một truyền thuyết đô thị?

    Trận chiến giữa người ngoài hành tinh và con người năm 1978: Sự thật hay chỉ là một truyền thuyết đô thị?

  • Cách phân biệt rắn cạp nong và rắn cạp nia

    Cách phân biệt rắn cạp nong và rắn cạp nia

  • Các hành tinh trong Hệ Mặt trời

    Các hành tinh trong Hệ Mặt trời

  • Thành Cát Tư Hãn đã chinh phục phần lớn lục địa Á-Âu, nhưng tại sao không dám xâm lược Ấn Độ?

    Thành Cát Tư Hãn đã chinh phục phần lớn lục địa Á-Âu, nhưng tại sao không dám xâm lược Ấn Độ?

  • Top 7 động vật lai ít gặp, rất khó tin là chúng thật sự tồn tại

    Top 7 động vật lai ít gặp, rất khó tin là chúng thật sự tồn tại

☰ Danh mục
  • Khám phá khoa học

  • Sinh vật học

  • Khảo cổ học

  • Đại dương học

  • Thế giới động vật

  • Khoa học vũ trụ

  • Danh nhân thế giới

  • Ngày tận thế

  • 1001 bí ẩn

  • Chinh phục sao Hỏa

  • Kỳ quan thế giới

  • Người ngoài hành tinh - UFO

  • Trắc nghiệm Khoa học

  • Khoa học quân sự

  • Lịch sử

  • Tại sao

  • Địa danh nổi tiếng

  • Hỏi đáp Khoa học

  • Công nghệ mới

  • Khoa học máy tính

  • Phát minh khoa học

  • AI - Trí tuệ nhân tạo

  • Y học - Sức khỏe

  • Môi trường

  • Bệnh Ung thư

  • Ứng dụng khoa học

  • Câu chuyện khoa học

  • Công trình khoa học

  • Sự kiện Khoa học

  • Thư viện ảnh

  • Video

Trang chủ .

Bảo mật .

Liên hệ .

Facebook .

Copyright © 2025 KhoaHoc.tv